Retina Gallery ~ Full Sized Retina Images

Library of Free, Non-Copyrighted Retina Images and Videos

Choose your language:
Foveal Red Spot Syndrome Left Eye
She noticed on covering the right eye that she had distortion off center in the left eye a few weeks ago.  She had a temporal paracentral scotoma intermittently visible on the eye examination.  She does notice that the left eye is not as good as the right eye now that it has been brought to her attention.  She has every now and then a little twitch in the left eye.  She has no pain on eye motion.  
VA OD: sc20/20 NccJ1+
VA OS: sc20/20-1

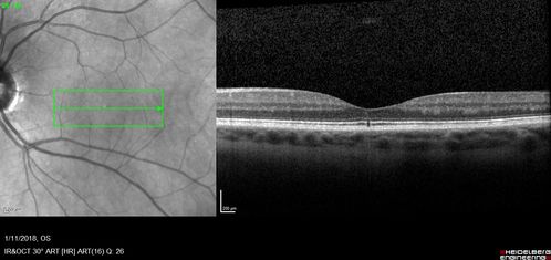
Foveal Red Spot Syndrome Left Eye

She noticed on covering the right eye that she had distortion off center in the left eye a few weeks ago.  She had a temporal paracentral scotoma intermittently visible on the eye examination.  She does notice that the left eye is not as good as the right eye now that it has been brought to her attention.  She has every now and then a little twitch in the left eye.  She has no pain on eye motion.  
VA OD: sc20/20 NccJ1+
VA OS: sc20/20-1

FovealRedSpotSynd_paken_011118_16.jpg FovealRedSpotSynd_paken_011118_19.jpg FovealRedSpotSynd_paken_011118_18.jpg FovealRedSpotSynd_paken_011118_17.jpg FovealRedSpotSynd_paken_011118_20.jpg