Retina Gallery ~ Full Sized Retina Images

Library of Free, Non-Copyrighted Retina Images and Videos

Choose your language:
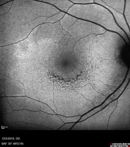
Hydroxychloroquine retinopathy - Plaquenil - Moderate
51 year old female on with trouble driving at  night for a year.  No eye examination for several years. 2009 (11 years ago) Plaquenil 300 then up to 400 a few years ago now down to 300 - 5'2" 135 lbs

VA 20/20 OD, 20/25 OS

Hydroxychloroquine retinopathy - Plaquenil - Moderate

51 year old female on with trouble driving at night for a year. No eye examination for several years. 2009 (11 years ago) Plaquenil 300 then up to 400 a few years ago now down to 300 - 5'2" 135 lbs

VA 20/20 OD, 20/25 OS

plaqueniltox_anflo_04.jpg plaqueniltox_anflo_07.jpg plaqueniltox_anflo_06.jpg plaqueniltox_anflo_08.jpg plaqueniltox_anflo_09.jpg