Retina Gallery ~ Full Sized Retina Images
Library of Free, Non-Copyrighted Retina Images and Videos
Home
Contact
About Us
Register
Login
Album list
Last uploads
Last comments
Most viewed
Top rated
My Favorites
By date
Search
FAQ
Choose your language:
FILE 28/35
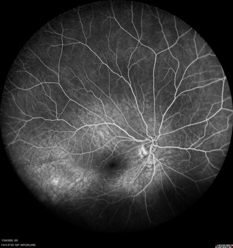
Familial Exudative Vitreoretinopathy - FEVR - Stage 1-b both eyes
She was born at term.   No family history of eye disease.
VA OD: Dcc20/25, VA OS: Dcc20/200+1 Ncc20/400
Anterior segment normal – clear lenses
File information
Filename:
FEVR_jegre_073020_28.jpg
Album name:
scohen125
/
Familial Exudative Vitreouretinopathy - FEVR
Filesize:
1313 KiB
Date added:
Aug 03, 2021
Dimensions:
1536 x 1636 pixels
Displayed:
272 times
URL:
https://retinagallery.com/displayimage.php?pid=14860
Favorites:
Add to Favorites