Retina Gallery ~ Full Sized Retina Images
Library of Free, Non-Copyrighted Retina Images and Videos
Home
Contact
About Us
Register
Login
Album list
Last uploads
Last comments
Most viewed
Top rated
My Favorites
By date
Search
FAQ
Choose your language:
FILE 10/19
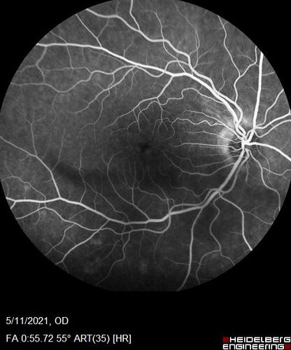
Retinal Angioma
53 year old female with no-symptoms and no significant medical history (or family history)
File information
Filename:
Angioma_litom_051121_12.jpg
Album name:
scohen125
/
Retinal Angioma with Exudates
Filesize:
43 KiB
Date added:
Sep 12, 2021
Dimensions:
496 x 596 pixels
Displayed:
262 times
URL:
https://retinagallery.com/displayimage.php?pid=15066
Favorites:
Add to Favorites