|
|
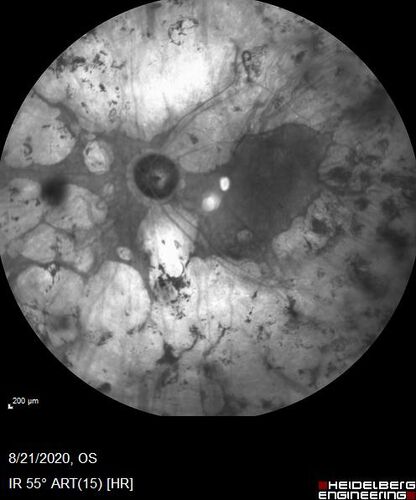
Pan Retinal Laser from original DRS study in the 1970s - 50 years later
|
67 year old female with diabetes since age 8. She had heavy PRP laser to both eyes in the 1970s by Lloyd M. Aiello, M.D, the father of PRP laser. Her vision is poor now, 1/200 OD and 20/200 OS.
|
|