Retina Gallery ~ Full Sized Retina Images
Library of Free, Non-Copyrighted Retina Images and Videos
Home
Contact
About Us
Register
Login
Album list
Last uploads
Last comments
Most viewed
Top rated
My Favorites
By date
Search
FAQ
Choose your language:
FILE 2/38
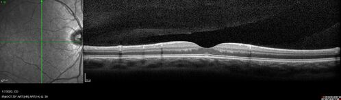
Combined hamartoma of the retina and retinal pigment epithelium
8 year old boy failed vision screening at school. VA 20/20 OD, 20/40 OS
File information
Filename:
hamartoma_jujai_010722_04.jpg
Album name:
scohen125
/
Combined hamartoma of the retina and the retinal pigment epithelium
Filesize:
206 KiB
Date added:
Apr 05, 2022
Dimensions:
2032 x 596 pixels
Displayed:
230 times
URL:
https://retinagallery.com/displayimage.php?pid=15972
Favorites:
Add to Favorites