Retina Gallery ~ Full Sized Retina Images

Library of Free, Non-Copyrighted Retina Images and Videos

Choose your language:
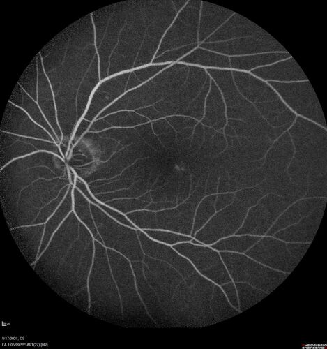
Choroidal Hemangioma Requiring PDT repeatedly
64 year old man.  Diagnosed with hemangioma in 2015.  PDT in 2016.  Images are from 2020 when fluid started to reaccumulate.  Needed PDT repeated two more times.
PDT treatments: [1] 2/19/2015 -  Pavan (IOP  problem after PDT)  AND [2] 11/2/21 PDT (7 mm temporal to fovea) - SMC  AND [3] 7/22/22 PDT 7.5 mm Temporal to the fovea

Choroidal Hemangioma Requiring PDT repeatedly

64 year old man. Diagnosed with hemangioma in 2015. PDT in 2016. Images are from 2020 when fluid started to reaccumulate. Needed PDT repeated two more times.
PDT treatments: [1] 2/19/2015 -  Pavan (IOP  problem after PDT)  AND [2] 11/2/21 PDT (7 mm temporal to fovea) - SMC  AND [3] 7/22/22 PDT 7.5 mm Temporal to the fovea

hemangioma_armar1_081721_12.jpg hemangioma_armar1_081721_14.jpg hemangioma_armar1_081721_13.jpg hemangioma_armar1_081721_15.jpg hemangioma_armar1_081721_16.jpg