Retina Gallery ~ Full Sized Retina Images

Library of Free, Non-Copyrighted Retina Images and Videos

Choose your language:
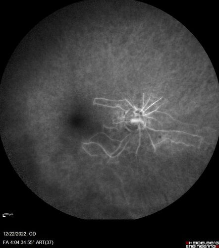
Ocular Ischemia from 100 percent right carotid occlusion
77 year old female the vision in the right eye got much worse.  She has recently been getting more severe headaches.  Her vision is now blank.  She went to her old GP in Wisconsin who said it might be sinus pressure.  Her chiropractor did an adjustment and the chiropractor checked the patient eyes and told her to go to the eye doctor.  She has been feeling pressure around her eye since the air flight.  
Specialty Meds (Initial): systane prn OU. Plavix, Combivent, ASA 325, Vitamin E, Zinc.
PSH – Carotid surgery in 2000 (20 years ago), Stent 11/2022, Mastectomy 2000.
VA OD: DccCF 3ft (eccentric) NccUnable
VA OS: Dcc20/25 NccJ1
IOP: TP: OD:18 OS:16
Psuedophakic OU
Right eye had rubeosis on the pupil margin and not in the angle
Further testing showed 100 percent occlusion of the right carotid artery.  The left carotid artery was stented.

Ocular Ischemia from 100 percent right carotid occlusion

77 year old female the vision in the right eye got much worse. She has recently been getting more severe headaches. Her vision is now blank. She went to her old GP in Wisconsin who said it might be sinus pressure. Her chiropractor did an adjustment and the chiropractor checked the patient eyes and told her to go to the eye doctor. She has been feeling pressure around her eye since the air flight.
Specialty Meds (Initial): systane prn OU. Plavix, Combivent, ASA 325, Vitamin E, Zinc.
PSH – Carotid surgery in 2000 (20 years ago), Stent 11/2022, Mastectomy 2000.
VA OD: DccCF 3ft (eccentric) NccUnable
VA OS: Dcc20/25 NccJ1
IOP: TP: OD:18 OS:16
Psuedophakic OU
Right eye had rubeosis on the pupil margin and not in the angle
Further testing showed 100 percent occlusion of the right carotid artery. The left carotid artery was stented.

ischemiaOS_folbett_122222_18.jpg ischemiaOS_folbett_122222_20.jpg ischemiaOS_folbett_122222_19.jpg ischemiaOS_folbett_122222_21.jpg ischemiaOS_folbett_122222_22.jpg