Retina Gallery ~ Full Sized Retina Images

Library of Free, Non-Copyrighted Retina Images and Videos

Choose your language:
Chronic Myelogenous Leukemia and Diabetic Macular Edema
71 year old female with 3 months of vision loss and not feeling well.  She has been bruising on her legs.  Her vision was 20/100 in each eye with macular edema.  She was treated with Avastin and her CBC was checked.  She had a WBC of 267 thousand and was diagnosed with CML.

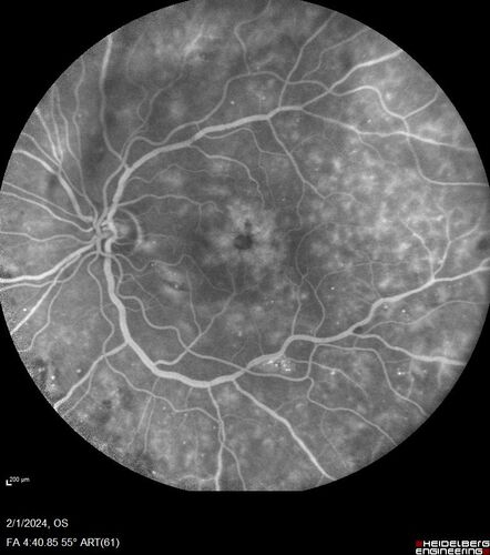
Chronic Myelogenous Leukemia and Diabetic Macular Edema

71 year old female with 3 months of vision loss and not feeling well. She has been bruising on her legs. Her vision was 20/100 in each eye with macular edema. She was treated with Avastin and her CBC was checked. She had a WBC of 267 thousand and was diagnosed with CML.

leukemia_118545_20.jpg leukemia_118545_21.jpg leukemia_118545_22.jpg leukemiaOD.JPG leukemiaos.JPG