Retina Gallery ~ Full Sized Retina Images
Library of Free, Non-Copyrighted Retina Images and Videos
Home
Contact
About Us
Register
Login
Album list
Last uploads
Last comments
Most viewed
Top rated
My Favorites
By date
Search
FAQ
Choose your language:
FILE 15/17
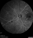
Severe NPDR
53 year old man with blurred vision (needs glasses).
Diabetic for 10 years with poor control
VA 20/32 OU
File information
Filename:
NPDR_116888_92024_15.jpg
Album name:
scohen125
/
Severe NPDR
Filesize:
271 KiB
Date added:
Sep 23, 2024
Dimensions:
768 x 868 pixels
Displayed:
122 times
URL:
https://retinagallery.com/displayimage.php?pid=18213
Favorites:
Add to Favorites