Retina Gallery ~ Full Sized Retina Images
Library of Free, Non-Copyrighted Retina Images and Videos
Home
Contact
About Us
Register
Login
Album list
Last uploads
Last comments
Most viewed
Top rated
My Favorites
By date
Search
FAQ
Choose your language:
FILE 22/25
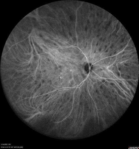
Birdshot Chorioretinitis - Chronic Untreated with Drusen Like Material in Macula
72 year old female with vision changes for years just now diagnosed with Birdshot.
File information
Filename:
birdshot_123311_01142025_22.jpg
Album name:
scohen125
/
Birdshot Chorioretinitis - Chronic Untreated
Filesize:
1511 KiB
Date added:
Jan 26, 2025
Dimensions:
1536 x 1636 pixels
Displayed:
81 times
URL:
https://retinagallery.com/displayimage.php?pid=18516
Favorites:
Add to Favorites