Retina Gallery ~ Full Sized Retina Images
Library of Free, Non-Copyrighted Retina Images and Videos
Home
Contact
About Us
Register
Login
Album list
Last uploads
Last comments
Most viewed
Top rated
My Favorites
By date
Search
FAQ
Choose your language:
FILE 13/25
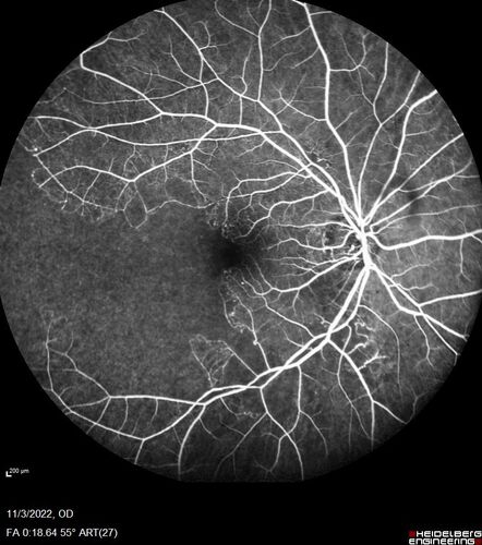
Coats Plus Syndrome - Cerebroretinal microangiopathy with calcifications and cysts (CRMCC)
38 year old female CTC1 positive with Coats Plus Syndrome. This case was published https://pmc.ncbi.nlm.nih.gov/articles/PMC10649444/
File information
Filename:
coats2B112257_110322_13.jpg
Album name:
scohen125
/
Coats Plus in an Adult
Filesize:
96 KiB
Date added:
Apr 14, 2025
Dimensions:
768 x 868 pixels
Displayed:
115 times
URL:
https://retinagallery.com/displayimage.php?pid=18601
Favorites:
Add to Favorites