Retina Gallery ~ Full Sized Retina Images

Library of Free, Non-Copyrighted Retina Images and Videos

Choose your language:
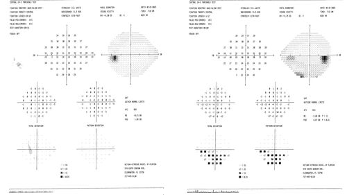
Ischemic Optic Neuropathy associated with GLP-1 Agonist
48 year old female woke up with blurry vision inferiorly in the right eye. the right optic nerve isnoted to be swollen. She does not have any pain with eye movements. The left eye is OK.
Medical History: Migraines
Surgical History: LASIK OU (2006) 
Systemic Meds: Mounjaro (tirzepatide) injection qweekly since 8/2024, Prozac, Nexium, Sumatriptan. 
VA OD: Dcc 20/20
VA OS: Dcc 20/16-1

Ischemic Optic Neuropathy associated with GLP-1 Agonist

48 year old female woke up with blurry vision inferiorly in the right eye. the right optic nerve isnoted to be swollen. She does not have any pain with eye movements. The left eye is OK.
Medical History: Migraines
Surgical History: LASIK OU (2006)
Systemic Meds: Mounjaro (tirzepatide) injection qweekly since 8/2024, Prozac, Nexium, Sumatriptan.
VA OD: Dcc 20/20
VA OS: Dcc 20/16-1

AION-GLP_123575_01272025_02.jpg AION-GLP_123575_01272025_05.jpg AION-GLP_123575_01272025_04.jpg AION-GLP_123575_01272025_03.JPG AION-GLP_123575_01272025_06-2.jpg