Retina Gallery ~ Full Sized Retina Images

Library of Free, Non-Copyrighted Retina Images and Videos

Wähle Sprache:
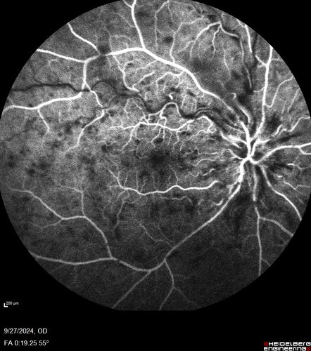
Central Retinal Vein Occlusion - Non-Ischemic - Excellent Outcome
57 year old man The right eye has had vision loss for about 3 weeks.  He woke up with vision loss. 
Medical Hx: HIV . Diabetes Mellitus (since 2014). Thyroid Disease. 
Systemic Meds: gemboya. Metformin Hydrochloride. trulicity. losartan. vesepa. Synthroid .
VA OD: sc20/160 OS: sc20/20 
TP: OD:14 OS:14
Treated with Avastin
VA 6 weeks later 20/32 – dry one shot.
Missed follow-up after second treatment and came  5 months later with good vision and no macular edema

Central Retinal Vein Occlusion - Non-Ischemic - Excellent Outcome

57 year old man The right eye has had vision loss for about 3 weeks. He woke up with vision loss.
Medical Hx: HIV . Diabetes Mellitus (since 2014). Thyroid Disease.
Systemic Meds: gemboya. Metformin Hydrochloride. trulicity. losartan. vesepa. Synthroid .
VA OD: sc20/160 OS: sc20/20
TP: OD:14 OS:14
Treated with Avastin
VA 6 weeks later 20/32 – dry one shot.
Missed follow-up after second treatment and came 5 months later with good vision and no macular edema

CRVO-non-ischemic-121875-1-092724_08.JPG CRVO-non-ischemic-121875-1-092724_11.jpg CRVO-non-ischemic-121875-1-092724_12.jpg CRVO-non-ischemic-121875-1-092724_14.jpg CRVO-non-ischemic-121875-1-092724_13.jpg