Retina Gallery ~ Full Sized Retina Images
Library of Free, Non-Copyrighted Retina Images and Videos
Home
Contact
About Us
Register
Login
Album list
Last uploads
Last comments
Most viewed
Top rated
My Favorites
By date
Search
FAQ
Choose your language:
FILE 2/14
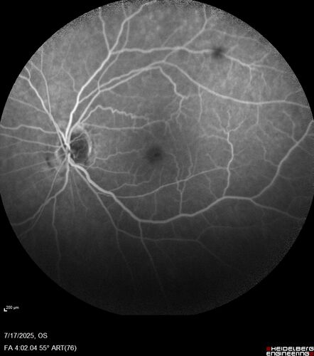
BRAO - plaques in vessels - GIF video of FA
78 year old female with vision loss for 1 week and old macular scar. Images show BRAO with plaques and FA shows occlusion.
File information
Filename:
BRAO_126199_071725_18.jpg
Album name:
scohen125
/
BRAO and macular scar - plaques in vessel and video
Filesize:
300 KiB
Date added:
Oct 13, 2025
Dimensions:
768 x 868 pixels
Displayed:
58 times
URL:
https://retinagallery.com/displayimage.php?pid=18739
Favorites:
Add to Favorites