Retina Gallery ~ Full Sized Retina Images
Library of Free, Non-Copyrighted Retina Images and Videos
Home
Contact
About Us
Register
Login
Album list
Last uploads
Last comments
Most viewed
Top rated
My Favorites
By date
Search
FAQ
Choose your language:
FILE 3/10
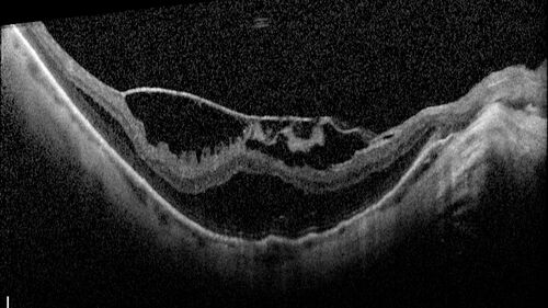
Stable Myopic Tractional Maculopathy
73 year old female with mild vision loss from table myopic tractional maculopathy in the left eye
File information
Filename:
myopic-traction-574408_051925_05.jpg
Album name:
scohen125
/
Myopic Tractional Maculopathy (Stable)
Filesize:
260 KiB
Date added:
Nov 23, 2025
Dimensions:
768 x 432 pixels
Displayed:
49 times
URL:
https://retinagallery.com/displayimage.php?pid=18789
Favorites:
Add to Favorites