Retina Gallery ~ Full Sized Retina Images
Library of Free, Non-Copyrighted Retina Images and Videos
Home
Contact
About Us
Register
Login
Album list
Last uploads
Last comments
Most viewed
Top rated
My Favorites
By date
Search
FAQ
Choose your language:
FILE 1/18
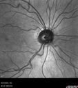
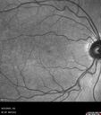
27 year old with migraine - normal imaging
File information
Filename:
migraine_127207_092525_03.jpg
Album name:
scohen125
/
Migraine (normal imaging)
Filesize:
287 KiB
Date added:
Feb 18, 2026
Dimensions:
768 x 868 pixels
Displayed:
28 times
URL:
https://retinagallery.com/displayimage.php?pid=18915
Favorites:
Add to Favorites