Retina Gallery ~ Full Sized Retina Images
Library of Free, Non-Copyrighted Retina Images and Videos
Home
Contact
About Us
Register
Login
Album list
Last uploads
Last comments
Most viewed
Top rated
My Favorites
By date
Search
FAQ
Choose your language:
FILE 2/26
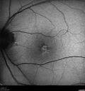
Pattern Dystrophy with Collapsed Vitelliform
74 year old female with vision loss in eye with collapsed vitelliform lesion.
File information
Filename:
PatternDystrophy_96645_063022_03.jpg
Album name:
scohen125
/
Collapsed Vitelliform Pattern Dystrophy
Filesize:
1879 KiB
Date added:
Feb 18, 2026
Dimensions:
1536 x 1636 pixels
Displayed:
29 times
URL:
https://retinagallery.com/displayimage.php?pid=18985
Favorites:
Add to Favorites