Retina Gallery ~ Full Sized Retina Images
Library of Free, Non-Copyrighted Retina Images and Videos
Home
Contact
About Us
Register
Login
Album list
Last uploads
Last comments
Most viewed
Top rated
My Favorites
By date
Search
FAQ
Choose your language:
FILE 24/29
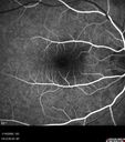
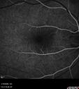
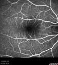
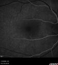
Acute Retinal Pigment Epitheliitis (Krills disease)
15 year old with sudden central vision loss in one eye. The vision loss persisted though for at least 6 months (which may be a laser injury)
File information
Filename:
ARPE_125925_011926_15.jpg
Album name:
scohen125
/
Acute Retinal Pigment Epitheliitis (Maybe)
Filesize:
463 KiB
Date added:
Apr 13, 2026
Dimensions:
768 x 868 pixels
Displayed:
2 times
URL:
https://retinagallery.com/displayimage.php?pid=19122
Favorites:
Add to Favorites