Retina Gallery ~ Full Sized Retina Images
Library of Free, Non-Copyrighted Retina Images and Videos
Home
Contact
About Us
Register
Login
Album list
Last uploads
Last comments
Most viewed
Top rated
My Favorites
By date
Search
FAQ
Choose your language:
FILE 3/19
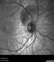
Traumatic Peripapillary Subretinal Hemorrhage
16 year old hit in eye with finger during basketball. Vision is 20/25 and there is a peripapillary hemorrhage.
File information
Filename:
Trauma-PPHeme_111390_06072022_04.jpg
Album name:
scohen125
/
Peripapillary Hemorrhage (trauma)
Filesize:
87 KiB
Date added:
Apr 13, 2026
Dimensions:
768 x 868 pixels
Displayed:
2 times
URL:
https://retinagallery.com/displayimage.php?pid=19139
Favorites:
Add to Favorites