Retina Gallery ~ Full Sized Retina Images

Library of Free, Non-Copyrighted Retina Images and Videos

Choose your language:
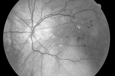
Diabetic Macular Edema with Circinate Exudate Red Free
74-year-old man has diabetic macular edema in both eyes and background diabetic retinopathy.  His vision has blurred over the last few months.  His blood sugars have been fluctuating.

VISUAL ACUITY: Vision OD is 20/25, OS is 20/80

Diabetic Macular Edema with Circinate Exudate Red Free

74-year-old man has diabetic macular edema in both eyes and background diabetic retinopathy. His vision has blurred over the last few months. His blood sugars have been fluctuating.

VISUAL ACUITY: Vision OD is 20/25, OS is 20/80

macpostlaser.png mapprelaser.jpg bdrcmelaser_32595.png bdrcmelaser_32595_28129.png bdrcmelaser_32595_28229.png