Retina Gallery ~ Full Sized Retina Images
Library of Free, Non-Copyrighted Retina Images and Videos
Home
Contact
About Us
Register
Login
Album list
Last uploads
Last comments
Most viewed
Top rated
My Favorites
By date
Search
FAQ
Choose your language:
FILE 2/2
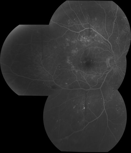
Diabetic Macular Edema
63 yr old Male
VA 20/20 OD 20/25 OS
No complaints
File information
Filename:
DME2.jpg
Album name:
/
DME
Rating (1 votes):
(
Show details
)
Filesize:
838 KiB
Date added:
Dec 30, 2011
Dimensions:
3018 x 3500 pixels
Displayed:
475 times
URL:
https://retinagallery.com/displayimage.php?pid=3826
Favorites:
Add to Favorites