Retina Gallery ~ Full Sized Retina Images

Library of Free, Non-Copyrighted Retina Images and Videos

Choose your language:
Serous Retinal Detachment - Hypertensive Retinopathy - 165/120 - Fluorescein Angiogram
48-year-old woman noticed when she was blinking there was a white flash in the left eye starting about a month ago.  She sees it temporally.  OD 20/16,  OS 20/20.  There is a serous retinal detachment superotemporal to the optic nerve falling short of the fovea.   Her blood pressure 165/120.

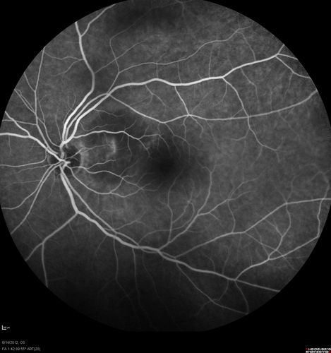
Serous Retinal Detachment - Hypertensive Retinopathy - 165/120 - Fluorescein Angiogram

48-year-old woman noticed when she was blinking there was a white flash in the left eye starting about a month ago. She sees it temporally. OD 20/16, OS 20/20. There is a serous retinal detachment superotemporal to the optic nerve falling short of the fovea. Her blood pressure 165/120.

liwe_06141216.jpg liwe_06141217.jpg liwe_06141218.jpg liwe_06141219.jpg liwe_06141220.jpg