Retina Gallery ~ Full Sized Retina Images

Library of Free, Non-Copyrighted Retina Images and Videos

Choose your language:
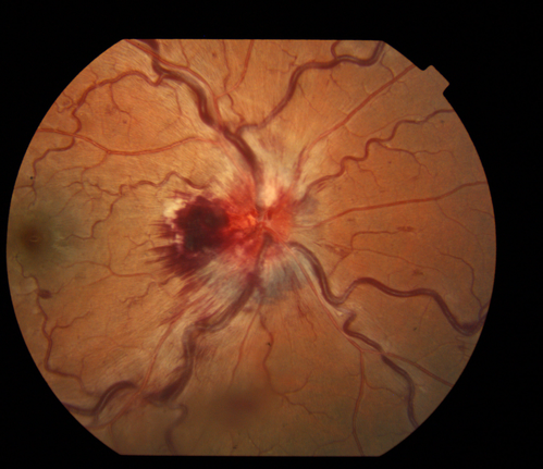
Central Retinal Vein Occlusion - Severe Optic Nerve Edema
15 yr old male presents with sudden onset of painless decreased vision in right eye x 6 days gradually worsening. No history of Trauma OD 20/30 OS 20/25, Diagnosis CRVO  with ? Papillophlebitis.
Keywords: november2012

Central Retinal Vein Occlusion - Severe Optic Nerve Edema

15 yr old male presents with sudden onset of painless decreased vision in right eye x 6 days gradually worsening. No history of Trauma OD 20/30 OS 20/25, Diagnosis CRVO with ? Papillophlebitis.

Retina_gallery_5_Nov_20125B0025D.png Retina_gallery_5_Nov_20125B0015D.png