Retina Gallery ~ Full Sized Retina Images
Library of Free, Non-Copyrighted Retina Images and Videos
Startseite
Kontakt
About Us
Registrieren
Anmelden
Albenliste
Neueste Uploads
Neueste Kommentare
Am meisten angesehen
Am besten bewertet
Meine Favoriten
Nach Datum
Suche
FAQ
Wähle Sprache:
Datei 1/1
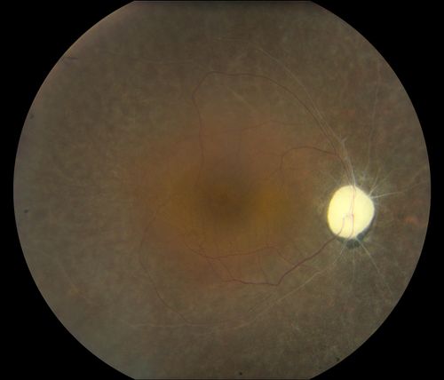
Retinal Pigmintosa
28-year old female with no light perception in the right eye.
Datei-Information
Dateiname:
49273_001.JPG
Name des Albums:
/
Retinal Pigmintosa
Bewertung (1 Stimmen):
(
Details anzeigen
)
Schlüsselwörter:
november2012
Attribution (if wanted) enter name or institution here: :
Mayo Clinic Jacksonville, Florida
Device with which Image was Captured::
TOPCON TRC 50-EX
Dateigröße:
367 KB
Hinzugefügt am:
20. November 2012
Abmessungen:
2392 x 2048 Pixel
Angezeigt:
912 mal
URL:
https://retinagallery.com/displayimage.php?pid=5623
Favoriten:
zu Favoriten hinzufügen