Retina Gallery ~ Full Sized Retina Images
Library of Free, Non-Copyrighted Retina Images and Videos
Home
Contact
About Us
Register
Login
Album list
Last uploads
Last comments
Most viewed
Top rated
My Favorites
By date
Search
FAQ
Choose your language:
FILE 13/17
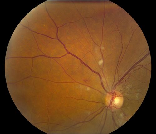
Hypertensive Retinopathy
Patient comes in complaining of spots in vision in both eyes. VA was 20/25 - right eye and 20/20- left eye. Fundus exam reveals little hemorrhages with cotton wool spots due to hypertension and anemia.
File information
Filename:
49643_013.JPG
Album name:
/
Hypertensive Retinopathy
Attribution (if wanted) enter name or institution here: :
Mayo Clinic Jacksonville
Device with which Image was Captured::
TOPCON TRC 50-EX
Filesize:
409 KiB
Date added:
Mar 28, 2013
Dimensions:
2392 x 2048 pixels
Displayed:
476 times
URL:
https://retinagallery.com/displayimage.php?pid=6480
Favorites:
Add to Favorites