Retina Gallery ~ Full Sized Retina Images
Library of Free, Non-Copyrighted Retina Images and Videos
Home
Contact
About Us
Register
Login
Album list
Last uploads
Last comments
Most viewed
Top rated
My Favorites
By date
Search
FAQ
Choose your language:
FILE 17/35
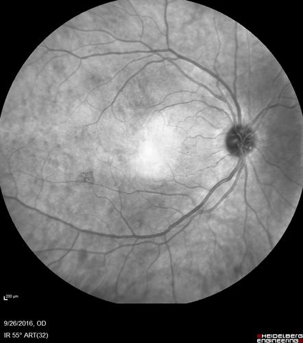
PDR NVD left eye and NVE right eye
41 year old diabetic woman with PDR in both eyes. High risk in the left eye. She had PRP, Avastin, and vitrectomy x 2 in the left eye with final vision of 20/25. The right eye had eventually PRP laser
File information
Filename:
pdr_belu_092616_17.jpg
Album name:
scohen125
/
Proliferative Diabetic Retinopathy NVD left eye and NVE right eye - Ultrawide field FA
Filesize:
247 KiB
Date added:
Apr 07, 2017
Dimensions:
768 x 868 pixels
Displayed:
442 times
URL:
https://retinagallery.com/displayimage.php?pid=9633
Favorites:
Add to Favorites