|
|

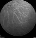
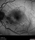
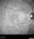
NPDR and Severe macular ischemia sudden vision loss33 views60 year old female with sudden vision loss OD 1 week ago. VA 20/63, 20/200. OCT-A and FA shows severe macular ischemia OUJan 11, 2026
|
|

NPDR and Severe macular ischemia sudden vision loss48 views60 year old female with sudden vision loss OD 1 week ago. VA 20/63, 20/200. OCT-A and FA shows severe macular ischemia OUJan 11, 2026
|
|

NPDR and Severe macular ischemia sudden vision loss39 views60 year old female with sudden vision loss OD 1 week ago. VA 20/63, 20/200. OCT-A and FA shows severe macular ischemia OUJan 11, 2026
|
|

NPDR and Severe macular ischemia sudden vision loss41 views60 year old female with sudden vision loss OD 1 week ago. VA 20/63, 20/200. OCT-A and FA shows severe macular ischemia OUJan 11, 2026
|
|

NPDR and Severe macular ischemia sudden vision loss34 views60 year old female with sudden vision loss OD 1 week ago. VA 20/63, 20/200. OCT-A and FA shows severe macular ischemia OUJan 11, 2026
|
|

NPDR and Severe macular ischemia sudden vision loss29 views60 year old female with sudden vision loss OD 1 week ago. VA 20/63, 20/200. OCT-A and FA shows severe macular ischemia OUJan 11, 2026
|
|

NPDR and Severe macular ischemia sudden vision loss35 views60 year old female with sudden vision loss OD 1 week ago. VA 20/63, 20/200. OCT-A and FA shows severe macular ischemia OUJan 11, 2026
|
|

NPDR and Severe macular ischemia sudden vision loss36 views60 year old female with sudden vision loss OD 1 week ago. VA 20/63, 20/200. OCT-A and FA shows severe macular ischemia OUJan 11, 2026
|
|

NPDR and Severe macular ischemia sudden vision loss31 views60 year old female with sudden vision loss OD 1 week ago. VA 20/63, 20/200. OCT-A and FA shows severe macular ischemia OUJan 11, 2026
|
|

NPDR and Severe macular ischemia sudden vision loss27 views60 year old female with sudden vision loss OD 1 week ago. VA 20/63, 20/200. OCT-A and FA shows severe macular ischemia OUJan 11, 2026
|
|

NPDR and Severe macular ischemia sudden vision loss30 views60 year old female with sudden vision loss OD 1 week ago. VA 20/63, 20/200. OCT-A and FA shows severe macular ischemia OUJan 11, 2026
|
|

NPDR and Severe macular ischemia sudden vision loss34 views60 year old female with sudden vision loss OD 1 week ago. VA 20/63, 20/200. OCT-A and FA shows severe macular ischemia OUJan 11, 2026
|
|

NPDR and Severe macular ischemia sudden vision loss29 views60 year old female with sudden vision loss OD 1 week ago. VA 20/63, 20/200. OCT-A and FA shows severe macular ischemia OUJan 11, 2026
|
|

NPDR and Severe macular ischemia sudden vision loss33 views60 year old female with sudden vision loss OD 1 week ago. VA 20/63, 20/200. OCT-A and FA shows severe macular ischemia OUJan 11, 2026
|
|

NPDR and Severe macular ischemia sudden vision loss25 views60 year old female with sudden vision loss OD 1 week ago. VA 20/63, 20/200. OCT-A and FA shows severe macular ischemia OUJan 11, 2026
|
|

NPDR and Severe macular ischemia sudden vision loss27 views60 year old female with sudden vision loss OD 1 week ago. VA 20/63, 20/200. OCT-A and FA shows severe macular ischemia OUJan 11, 2026
|
|

NPDR and Severe macular ischemia sudden vision loss34 views60 year old female with sudden vision loss OD 1 week ago. VA 20/63, 20/200. OCT-A and FA shows severe macular ischemia OUJan 11, 2026
|
|

NPDR and Severe macular ischemia sudden vision loss23 views60 year old female with sudden vision loss OD 1 week ago. VA 20/63, 20/200. OCT-A and FA shows severe macular ischemia OUJan 11, 2026
|
|

NPDR and Severe macular ischemia sudden vision loss25 views60 year old female with sudden vision loss OD 1 week ago. VA 20/63, 20/200. OCT-A and FA shows severe macular ischemia OUJan 11, 2026
|
|

NPDR and Severe macular ischemia sudden vision loss21 views60 year old female with sudden vision loss OD 1 week ago. VA 20/63, 20/200. OCT-A and FA shows severe macular ischemia OUJan 11, 2026
|
|

NPDR and Severe macular ischemia sudden vision loss31 views60 year old female with sudden vision loss OD 1 week ago. VA 20/63, 20/200. OCT-A and FA shows severe macular ischemia OUJan 11, 2026
|
|

NPDR and Severe macular ischemia sudden vision loss32 views60 year old female with sudden vision loss OD 1 week ago. VA 20/63, 20/200. OCT-A and FA shows severe macular ischemia OUJan 11, 2026
|
|

NPDR and Severe macular ischemia sudden vision loss24 views60 year old female with sudden vision loss OD 1 week ago. VA 20/63, 20/200. OCT-A and FA shows severe macular ischemia OUJan 11, 2026
|
|

NPDR and Severe macular ischemia sudden vision loss30 views60 year old female with sudden vision loss OD 1 week ago. VA 20/63, 20/200. OCT-A and FA shows severe macular ischemia OUJan 11, 2026
|
|

Post Anti-VEGF RPE Tear (Vabysmo)23 views87 year old female with vision loss OS (20/125) given 1/4 dose vabysmo and developed RPE tear VA dropped to 20/400Jan 11, 2026
|
|

Post Anti-VEGF RPE Tear (Vabysmo)28 views87 year old female with vision loss OS (20/125) given 1/4 dose vabysmo and developed RPE tear VA dropped to 20/400Jan 11, 2026
|
|

Post Anti-VEGF RPE Tear (Vabysmo)17 views87 year old female with vision loss OS (20/125) given 1/4 dose vabysmo and developed RPE tear VA dropped to 20/400Jan 11, 2026
|
|

Post Anti-VEGF RPE Tear (Vabysmo)25 views87 year old female with vision loss OS (20/125) given 1/4 dose vabysmo and developed RPE tear VA dropped to 20/400Jan 11, 2026
|
|

Post Anti-VEGF RPE Tear (Vabysmo)25 views87 year old female with vision loss OS (20/125) given 1/4 dose vabysmo and developed RPE tear VA dropped to 20/400Jan 11, 2026
|
|

Post Anti-VEGF RPE Tear (Vabysmo)24 views87 year old female with vision loss OS (20/125) given 1/4 dose vabysmo and developed RPE tear VA dropped to 20/400Jan 11, 2026
|
|

Post Anti-VEGF RPE Tear (Vabysmo)17 views87 year old female with vision loss OS (20/125) given 1/4 dose vabysmo and developed RPE tear VA dropped to 20/400Jan 11, 2026
|
|

Post Anti-VEGF RPE Tear (Vabysmo)23 views87 year old female with vision loss OS (20/125) given 1/4 dose vabysmo and developed RPE tear VA dropped to 20/400Jan 11, 2026
|
|

Post Anti-VEGF RPE Tear (Vabysmo)23 views87 year old female with vision loss OS (20/125) given 1/4 dose vabysmo and developed RPE tear VA dropped to 20/400Jan 11, 2026
|
|

Post Anti-VEGF RPE Tear (Vabysmo)18 views87 year old female with vision loss OS (20/125) given 1/4 dose vabysmo and developed RPE tear VA dropped to 20/400Jan 11, 2026
|
|

Post Anti-VEGF RPE Tear (Vabysmo)27 views87 year old female with vision loss OS (20/125) given 1/4 dose vabysmo and developed RPE tear VA dropped to 20/400Jan 11, 2026
|
|

Post Anti-VEGF RPE Tear (Vabysmo)22 views87 year old female with vision loss OS (20/125) given 1/4 dose vabysmo and developed RPE tear VA dropped to 20/400Jan 11, 2026
|
|

Post Anti-VEGF RPE Tear (Vabysmo)25 views87 year old female with vision loss OS (20/125) given 1/4 dose vabysmo and developed RPE tear VA dropped to 20/400Jan 11, 2026
|
|

Post Anti-VEGF RPE Tear (Vabysmo)21 views87 year old female with vision loss OS (20/125) given 1/4 dose vabysmo and developed RPE tear VA dropped to 20/400Jan 11, 2026
|
|

Post Anti-VEGF RPE Tear (Vabysmo)8 views87 year old female with vision loss OS (20/125) given 1/4 dose vabysmo and developed RPE tear VA dropped to 20/400Jan 11, 2026
|
|

Post Anti-VEGF RPE Tear (Vabysmo)22 views87 year old female with vision loss OS (20/125) given 1/4 dose vabysmo and developed RPE tear VA dropped to 20/400Jan 11, 2026
|
|

Post Anti-VEGF RPE Tear (Vabysmo)20 views87 year old female with vision loss OS (20/125) given 1/4 dose vabysmo and developed RPE tear VA dropped to 20/400Jan 11, 2026
|
|

Post Anti-VEGF RPE Tear (Vabysmo)29 views87 year old female with vision loss OS (20/125) given 1/4 dose vabysmo and developed RPE tear VA dropped to 20/400Jan 11, 2026
|
|

CRB1 Dystrophy - Inherited Retinal Disease - 14 year old male21 viewsVision loss for 4 years OD 20/63, OS 20/160Jan 11, 2026
|
|

CRB1 Dystrophy - Inherited Retinal Disease - 14 year old male26 viewsVision loss for 4 years OD 20/63, OS 20/160Jan 11, 2026
|
|

CRB1 Dystrophy - Inherited Retinal Disease - 14 year old male27 viewsVision loss for 4 years OD 20/63, OS 20/160Jan 11, 2026
|
|

CRB1 Dystrophy - Inherited Retinal Disease - 14 year old male16 viewsVision loss for 4 years OD 20/63, OS 20/160Jan 11, 2026
|
|

CRB1 Dystrophy - Inherited Retinal Disease - 14 year old male22 viewsVision loss for 4 years OD 20/63, OS 20/160Jan 11, 2026
|
|

CRB1 Dystrophy - Inherited Retinal Disease - 14 year old male22 viewsVision loss for 4 years OD 20/63, OS 20/160Jan 11, 2026
|
|

CRB1 Dystrophy - Inherited Retinal Disease - 14 year old male31 viewsVision loss for 4 years OD 20/63, OS 20/160Jan 11, 2026
|
|

Bullous Retinoschisis - Asymptomatic36 viewsDec 17, 2025
|
|

Bullous Retinoschisis - Asymptomatic32 viewsDec 17, 2025
|
|

Bullous Retinoschisis - Asymptomatic36 viewsDec 17, 2025
|
|

Hemi-CRVO - dual trunk vein31 views81 year old female mild vision loss - Anatomy shows dual trunk vein with one blocked. About 20 percent of people have this anatomyDec 17, 2025
|
|

Hemi-CRVO - dual trunk vein22 views81 year old female mild vision loss - Anatomy shows dual trunk vein with one blocked. About 20 percent of people have this anatomyDec 17, 2025
|
|

Hemi-CRVO - dual trunk vein27 views81 year old female mild vision loss - Anatomy shows dual trunk vein with one blocked. About 20 percent of people have this anatomyDec 17, 2025
|
|

Hemi-CRVO - dual trunk vein30 views81 year old female mild vision loss - Anatomy shows dual trunk vein with one blocked. About 20 percent of people have this anatomyDec 17, 2025
|
|

Hemi-CRVO - dual trunk vein24 views81 year old female mild vision loss - Anatomy shows dual trunk vein with one blocked. About 20 percent of people have this anatomyDec 17, 2025
|
|

Hemi-CRVO - dual trunk vein22 views81 year old female mild vision loss - Anatomy shows dual trunk vein with one blocked. About 20 percent of people have this anatomyDec 17, 2025
|
|

Hemi-CRVO - dual trunk vein20 views81 year old female mild vision loss - Anatomy shows dual trunk vein with one blocked. About 20 percent of people have this anatomyDec 17, 2025
|
|

Hemi-CRVO - dual trunk vein22 views81 year old female mild vision loss - Anatomy shows dual trunk vein with one blocked. About 20 percent of people have this anatomyDec 17, 2025
|
|

Hemi-CRVO - dual trunk vein20 views81 year old female mild vision loss - Anatomy shows dual trunk vein with one blocked. About 20 percent of people have this anatomyDec 17, 2025
|
|

Hemi-CRVO - dual trunk vein20 views81 year old female mild vision loss - Anatomy shows dual trunk vein with one blocked. About 20 percent of people have this anatomyDec 17, 2025
|
|

Hemi-CRVO - dual trunk vein16 views81 year old female mild vision loss - Anatomy shows dual trunk vein with one blocked. About 20 percent of people have this anatomyDec 17, 2025
|
|

Hemi-CRVO - dual trunk vein14 views81 year old female mild vision loss - Anatomy shows dual trunk vein with one blocked. About 20 percent of people have this anatomyDec 17, 2025
|
|

Hemi-CRVO - dual trunk vein16 views81 year old female mild vision loss - Anatomy shows dual trunk vein with one blocked. About 20 percent of people have this anatomyDec 17, 2025
|
|

Hemi-CRVO - dual trunk vein21 views81 year old female mild vision loss - Anatomy shows dual trunk vein with one blocked. About 20 percent of people have this anatomyDec 17, 2025
|
|

Hemi-CRVO - dual trunk vein22 views81 year old female mild vision loss - Anatomy shows dual trunk vein with one blocked. About 20 percent of people have this anatomyDec 17, 2025
|
|

Hemi-CRVO - dual trunk vein15 views81 year old female mild vision loss - Anatomy shows dual trunk vein with one blocked. About 20 percent of people have this anatomyDec 17, 2025
|
|

Hemi-CRVO - dual trunk vein28 views81 year old female mild vision loss - Anatomy shows dual trunk vein with one blocked. About 20 percent of people have this anatomyDec 17, 2025
|
|

Hemi-CRVO - dual trunk vein19 views81 year old female mild vision loss - Anatomy shows dual trunk vein with one blocked. About 20 percent of people have this anatomyDec 17, 2025
|
|

Hemi-CRVO - dual trunk vein19 views81 year old female mild vision loss - Anatomy shows dual trunk vein with one blocked. About 20 percent of people have this anatomyDec 17, 2025
|
|

Hemi-CRVO - dual trunk vein22 views81 year old female mild vision loss - Anatomy shows dual trunk vein with one blocked. About 20 percent of people have this anatomyDec 17, 2025
|
|

Hemi-CRVO - dual trunk vein16 views81 year old female mild vision loss - Anatomy shows dual trunk vein with one blocked. About 20 percent of people have this anatomyDec 17, 2025
|
|

Hemi-CRVO - dual trunk vein15 views81 year old female mild vision loss - Anatomy shows dual trunk vein with one blocked. About 20 percent of people have this anatomyDec 17, 2025
|
|

Hemi-CRVO - dual trunk vein19 views81 year old female mild vision loss - Anatomy shows dual trunk vein with one blocked. About 20 percent of people have this anatomyDec 17, 2025
|
|

Perivascular Exudative Vascular Complex - Perifoveal Microaneurysm23 views59 year old man - asymptomatic - not diabeticDec 17, 2025
|
|

Perivascular Exudative Vascular Complex - Perifoveal Microaneurysm27 views59 year old man - asymptomatic - not diabeticDec 17, 2025
|
|

Perivascular Exudative Vascular Complex - Perifoveal Microaneurysm20 views59 year old man - asymptomatic - not diabeticDec 17, 2025
|
|

Perivascular Exudative Vascular Complex - Perifoveal Microaneurysm17 views59 year old man - asymptomatic - not diabeticDec 17, 2025
|
|

Perivascular Exudative Vascular Complex - Perifoveal Microaneurysm17 views59 year old man - asymptomatic - not diabeticDec 17, 2025
|
|

Perivascular Exudative Vascular Complex - Perifoveal Microaneurysm29 views59 year old man - asymptomatic - not diabeticDec 17, 2025
|
|

Perivascular Exudative Vascular Complex - Perifoveal Microaneurysm17 views59 year old man - asymptomatic - not diabeticDec 17, 2025
|
|

Perivascular Exudative Vascular Complex - Perifoveal Microaneurysm18 views59 year old man - asymptomatic - not diabeticDec 17, 2025
|
|

Perivascular Exudative Vascular Complex - Perifoveal Microaneurysm31 views59 year old man - asymptomatic - not diabeticDec 17, 2025
|
|

Perivascular Exudative Vascular Complex - Perifoveal Microaneurysm27 views59 year old man - asymptomatic - not diabeticDec 17, 2025
|
|

Perivascular Exudative Vascular Complex - Perifoveal Microaneurysm28 views59 year old man - asymptomatic - not diabeticDec 17, 2025
|
|

Perivascular Exudative Vascular Complex - Perifoveal Microaneurysm35 views59 year old man - asymptomatic - not diabeticDec 17, 2025
|
|

Severe NPDR with non-perfusion on FA34 views64 year old man with 20/32 vision in both eyes and mild blurring. FA shows non-perfusion but no proliferationNov 23, 2025
|
|

Severe NPDR with non-perfusion on FA41 views64 year old man with 20/32 vision in both eyes and mild blurring. FA shows non-perfusion but no proliferationNov 23, 2025
|
|

Severe NPDR with non-perfusion on FA30 views64 year old man with 20/32 vision in both eyes and mild blurring. FA shows non-perfusion but no proliferationNov 23, 2025
|
|

Severe NPDR with non-perfusion on FA35 views64 year old man with 20/32 vision in both eyes and mild blurring. FA shows non-perfusion but no proliferationNov 23, 2025
|
|

Severe NPDR with non-perfusion on FA45 views64 year old man with 20/32 vision in both eyes and mild blurring. FA shows non-perfusion but no proliferationNov 23, 2025
|
|

Severe NPDR with non-perfusion on FA25 views64 year old man with 20/32 vision in both eyes and mild blurring. FA shows non-perfusion but no proliferationNov 23, 2025
|
|

Severe NPDR with non-perfusion on FA44 views64 year old man with 20/32 vision in both eyes and mild blurring. FA shows non-perfusion but no proliferationNov 23, 2025
|
|

Severe NPDR with non-perfusion on FA45 views64 year old man with 20/32 vision in both eyes and mild blurring. FA shows non-perfusion but no proliferationNov 23, 2025
|
|

Severe NPDR with non-perfusion on FA44 views64 year old man with 20/32 vision in both eyes and mild blurring. FA shows non-perfusion but no proliferationNov 23, 2025
|
|

Severe NPDR with non-perfusion on FA23 views64 year old man with 20/32 vision in both eyes and mild blurring. FA shows non-perfusion but no proliferationNov 23, 2025
|
|

Severe NPDR with non-perfusion on FA29 views64 year old man with 20/32 vision in both eyes and mild blurring. FA shows non-perfusion but no proliferationNov 23, 2025
|
|

Severe NPDR with non-perfusion on FA16 views64 year old man with 20/32 vision in both eyes and mild blurring. FA shows non-perfusion but no proliferationNov 23, 2025
|
|

Severe NPDR with non-perfusion on FA16 views64 year old man with 20/32 vision in both eyes and mild blurring. FA shows non-perfusion but no proliferationNov 23, 2025
|
|
| 17726 files on 178 page(s) |
1 |
 |
 |
 |
 |
 |
 |
 |
 |
 |
|