Retina Gallery ~ Full Sized Retina Images
Library of Free, Non-Copyrighted Retina Images and Videos
Home
Contact
About Us
Register
Login
Album list
Last uploads
Last comments
Most viewed
Top rated
My Favorites
By date
Search
FAQ
Choose your language:
FILE 14/17
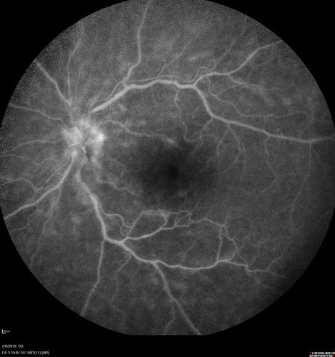
Chronic Endophthalmitis and Cystoid Macular Edema
VA 20/50 - Culture negative. Cleared with intravitreal antibiotics and decadron
File information
Filename:
Chronic-endo_macro_020619_0014.jpg
Album name:
scohen125
/
Chronic Endophthalmitis and Cystoid Macular Edema
Filesize:
1665 KiB
Date added:
Nov 14, 2019
Dimensions:
1536 x 1636 pixels
Displayed:
366 times
URL:
https://retinagallery.com/displayimage.php?pid=12897
Favorites:
Add to Favorites